Pulmonary Oedema

 

Pulmonary oedema is a pathological response to a wide range of clinical situations.

This advice sheet illustrates some of the major problems where pulmonary oedema may be seen

 

Cardiac insufficiency - hydrostatic

Left ventricular failure – pulmonary oedema     Right ventricular failure – generalised oedema

Heart failure  - PCV2  or Encephalomyocarditis virus.  Cardiotoxins – chronic Gossypol poisoning

허종석2003_1103_150812AA

PMWS ca 1 heart 2

0128 21 a 4  lung neg

Pulmonary oedema in PCVAD

Rounded heart seen in fresh carcase not so obvious once rigor mortis has set in

Note lungs are generally IHC PCV2 negative

Endocarditis 1a

Endocardiosis B2

Endocarditis 1d

Endocarditis – Erysipelas or Streptococcus suis. 

Pictures show pig with endocraditis – blue ears, lesions on heart valves and pulmonary oedema

Pericarditis au 3

Mulbery heart k3

Gastric ulcer ca

Pericarditis with associated pulmonary oedema

Mulberry heart disease – Vit E

Association with Linoleotic and fish oils

Chronic anaemia – chronic gastric ulcer or even severe lice infestation

 

 

 

Low blood osmotic pressure

Stephanurus liver 2

PDNS au 1m pulmonary oedema

colitis necrotic terminal au 2 lung

Liver disease – Stephanurus dentatus in adults or liver abscess

Nephrotic syndromes – Glomerular nephritis in PDNS for example

Protein losing enteropathy – severe necrotic enteritis and colitis

Gastric ucler haemorrhage au

Haemorrhagic bowel lung

Blood clotting defect k17

Haemorrhagic shock – acute gastric ulcer.  Oedema can be seen in neonates with naval bleeding.

Areas of pulmonary oedema in a case of Haemorrhagic bowel syndrome

Anticoagulants – the lungs above are from a pig with a congenital blood clotting problem

 

 

 

Permeability oedema (inflammation)

Renal oedema au 14

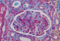
DIC kidney detail x 200

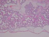
DIC Lung x 40

Bacterial toxins – DIC – endotoxins from gram –ve bacteria – Salmonella classic

Kidney changes with DIC – coagulative necrosis of the glomerulus

Pulmonary oedema in DIC

Fire on farm

Pulmonary oedema pericardiitis cut

 

Smoke inhalation

Toxins – Fumonisin >25 ppm

Ammonia high concentrations

Organophosphate poisoning

Diaphragmatic hernia – lung torsion

 

 

 

Neurogenic pulmonary oedema

Water salt posionoing eosinophilia meningeoencephalitis spb

bowel oedema weaner look

 

Water deprivation – salt poisoning – eosinophilic meningoencephalitis

E. coli oedema disease – note swollen eyelids and expression

 

 

Acute respiratory disease syndrome – ARDS

Sepsis – note all pulmonary oedema looks alike – the clinician needs to see what other pathological lesions are present

Enzootic pneumonia + virus oedema

Pulmonary oedema 2001a

Clostridial with Pulmonary oedema

Complicated enzootic pneumonia

Bacterial and viral pneumonia

PRRSv, Influenza and pasteurella – Mycoplasma hyopneumoniae free

Clostridium septicum infection with resultant pulmonary oedema

APP a5

Bordetella bronochopneumonia

Glassers pneumonia kr

Actinobacillus pleuropneumona associated pulmonary oedema

Bordetella bronchiseptica pneumonia

Pulmonary oedema in a case of Glδsser’s disease

Pathogens where pulmonary oedema may be seen in some of the disease presentations:

Actinobacillus pleuropneumoniae

Actinobacillus suis

Bordetella bronchiseptica

Clostridium septicum

Erysipelothrix rhusiopathiae

Mycoplasma hyorhinis

Pasteurella multocida

Salmonella choleraesuis

Staphylococcus hyicus

Streptococcus suis

 

 

African Swine Fever

Aujeszky’s Disease (pseudorabies)

Cytomegalovirus

Encephalomyocarditis virus

Nipah Virus

Porcine Circovirus 2

Enterovirus

 

Metastrongylus apri (heavy infestation)

Pneumonia inhalation weaner

Pancreatitis au1

Dead in transit pig

Aspiration of gastric contents

Pancreatitis

PSS – Dead in transit

Slaughterhouse/death stress