<%@LANGUAGE="JavaScript1.3"%> Swine Production Management - Breeding
 

 

Pregnancy Diagnosis

Probe Position

Place probe against flank. Aim just behind opposite shoulder and slowly rotate hand backwards.
Pregnancy Diagnosis
1-115 days In the presence of the boar
18-24 days In the presence of the boar checking for regular estrus return
25-34 days In the presence of the boar to check for late returns
28 days
  • With the Doppler machine for uterine pulse
  • Real time ultrasound
35 days With the Doppler machine for uterine pulse
8 weeks
  • By eye, looking for dropped abdomen
  • Any questionable sow, recheck with Doppler for uterine pulse and fetal pulse or real time for fetus
False Positives
 
  • False uterine pulse when the sow is coming or in season. This is why you need two positives (28 and 35 days) to be confident that the sow is pregnant
  • Always check that the Doppler machine is well serviced and has a well charged battery
  • Regularly re-listen to the teaching tape
  • Use plenty of gel between the head and the sow's body wall
Interpretation
 
  • A sow which records one negative must be rechecked the following day
  • A sow with two negatives must go back to the boar and be rechecked
  • A sow wrongly believed to be in pig post 35 days costs you around $3 a day 
Result interpretation:
  28 days 35 days Significance
Result +ve  +ve  Pregnant
Result -ve +ve Coming into second estrus return
Result +ve -ve Embryonic death possibly
Result -ve -ve Not pregnant

 

 

Real time Ultrasound Analysis -interpretation

Extension holder for the real time probe to save back issues

Non-pregnant uterus Ovarian Follicles and uterine outline Sow in estrus

 

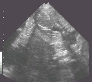
Pregnancy fetal vesicles at 28 days.
It is essential to visualize the fetus within the vesicle.
Fetal skeleton