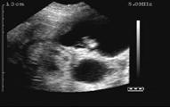
Pregnancy diagnosis using a real-time ultrasound

Interpretation of what you see

 

Preultra open

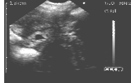
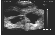
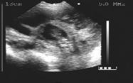
17 days gestation

18 days gestation

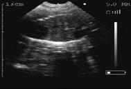
Not pregnant

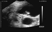
17 days of gestation

18 days of gestation

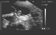
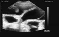
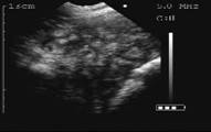
19 day gestation

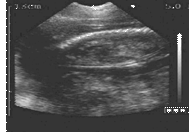
21 days gestation

22days gestation

19 days of gestation

21 days of gestation

22 days of gestation

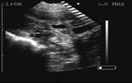
23 day gestations

24 days gestation

25 days gestation

23 days of gestation

24 days of gestation

25 days of gestation

26 days gestation

28 days gestations+

30 days gestation

26 days of gestation

28 days of gestation

30 days of gestation

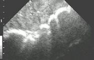
45 days gestations

86 days gestation

95 days gestation

45 days of gestation

85 days of gestation

95 days of gestation